虫歯の進行と症状
虫歯の進行は「C0(シーオー)〜C4(シーフォー)」という5段階で表します。
C0とは、デンタルカリエス・オブザベーションの略で虫歯要監視と言う意味です。虫歯を進行させないような口腔衛生的環境条件を整えられれば、エナメル質表面が一時的に溶けている状態(脱灰といいます)ですが、虫歯の穴が無いので、治療しなくても適切なブラッシングで再石灰化という自己修復作用で治ってしまう事もある状態です。
虫歯は進行すればするほど、治療が大変になっていきます。早期に治療することが出来れば、治療時間や治療費用も少ないです。
C1
虫歯による歯の脱灰がエナメル質にとどまったもの(まれに水がしみる程度でほとんど無症状)
C2
虫歯による脱灰が象牙質まで進行したもの(歯がしみたり、ときどき痛みが出ることもある)
C3
虫歯が進行して、歯髄(歯の神経)まで達したもの(お湯がしみたり、夜眠れないほどズキズキ強い痛みが出る)
C4
虫歯が進行し、歯の頭の部分(歯冠部)が崩壊して根だけ残った状態(痛みにならず比較的症状が落ち着いていることが多い)
![]() |
![]() |
|||
C1![]() |
C1![]() |
C1![]() |
C1![]() |
虫歯の治療
初期の虫歯
1.樹脂などで詰める (主に小さな虫歯) 小さな虫歯は、削り取った後、すぐに樹脂などで穴を塞げば治療が終わります。歯を元の形に整えて光を当てて樹脂を固めます。治療が1回で済むので、通院の負担もかかりません。
中程度の虫歯
中程度の虫歯は少し深く削るので、樹脂で塞ぐだけでは済みません。一度歯の型を取って、虫歯を削った部分にピッタリと収まる物を作ります。(インレー)
材質は金属やプラスチックなどです。一度型をとって、次に来院したときに被せます。治療には最低2回程度かかります。
進行した虫歯
進行した虫歯は大きく削って、根の治療が終わってから、一度型をとって歯の全体に被せるものを作り被せます。
![]() |
![]() |
![]() |
![]() |
| 黒いむし歯が根の方まで進行している | むし歯の部分を取り去る | 神経の根の部分を取りきれいにする | 根に詰め物をしてむし歯部分を修復する |
虫歯を修復させるための材料と形
虫歯を修復させるための主な材料は金属系と樹脂系、セラミック系に3大別できます。
小さい虫歯なら、白くて硬い樹脂系のプラスチックを詰めます。しかし、虫歯が大きくなると強度の面で弱い為に、金属かセラミックにしないと持ちません。
金属は審美的問題から小さい虫歯には用いられなくなってきていますが、被せものとしては一番利用されています。
セラミックは審美性も強度もあり注目されている材料ですが、保険適応されていません。
保険適用と保険外のもの
保険適応の被せ物などは、基本的に機能回復に重点が置かれていて、治療費が少なくて済みますが、見た目が気になる銀色の金属だったり、材質が磨耗して治療跡が使用しているあいだに目立つことがあります。しかし、より自然の歯に近い見た目にこだわりたい場合は、健康保険適応されない自費負担で、材質のグレードを上げることもできます。金属を使用しないことは、見た目の更なる向上や、金属アレルギーの心配がないなどのメリット があります。
その他、使う材料だけでなく、より精度を追求したり、特別な技術で治療を行なう場合には、健康保険の適応外で自費診療になることがあります。
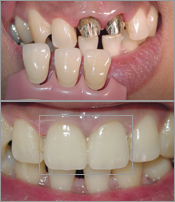
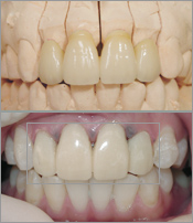
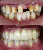
修復の例
![]() |
![]() |
![]() |
| ポーセレン 上顎前歯 1,1 | ポーセレン 上顎前歯 2,1,1,2 | ポーセレン 上顎前歯 2,1,1,2,3 |










