ブリッジとは
歯科でのブリッジは、歯を抜いた後に、その両端の歯を支台として、橋(ブリッジ)を架けるように冠を被せ、連結させることです。抜いた部分にも歯が入り、抜く前と同じような噛み合せや形を取り戻すことが出来ます。
ブリッジの長所と欠点
ブリッジは歯にかぶせてセメントで固定するため、違和感も無く咀嚼能力もほとんど減退することも無く、保険も適応できることから、歯を補うための装置として最も普及されているものです。
しかし、無くなった歯の両端の歯を削って被せなくてはならないことと、支台なる歯に無くなった歯の余分な力が掛かるなどありまのリスクがある。削らずに歯を抜いた部分だけに歯を作る方法には可撤式義歯(取り外し可能な入れ歯)とインプラントがす。
抜いたままにしておくと
1.抜いたままにしておくと抜いた反対側の噛み合わせる相手がいない歯が骨ごと伸びてきます。そのため、伸びた歯の周りも大きなこぶのように歯肉が見えるようになってきて、相手の歯茎にぶつかるまで伸び続けます。
2.両隣の歯が歯の無くなったスペースに倒れるように傾いてきます。したがって、何年も歯を抜いて放置しますと歯並びが悪くなると共に噛み合わせが乱れ、ブリッジを作ろうとしても作ることが出来ない場合もあります。
適応例
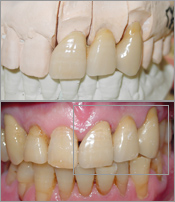
![]() |
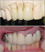
![]() |
|
| 左上2の欠損のポーセレンブリッジ | 右上2の欠損のポーセレンブリッジ |




